2019-08-02 10:29
霓虹直通车安排去日本体检的用户中,有的人在做胸部CT后,会被告知肺小结节,于是担惊受怕。其实发现肺小结节,不要惊慌害怕,80%以上的是良性结节,人的肺每日不停呼吸用了几十年,怎么能没个影子结节之类的东西呢?

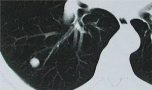
肺结节是指肺内单发或多发的直径不超过3cm的圆形或类似圆形的结节,影像学表现为密度增高的阴影。
发现肺结节怎么办?
手术or不手术,还是密切观察?
注意:肿块﹥3cm;结节≤3 cm;小结节﹤2cm;微小结节﹤5mm。结节的大小与结节的良、恶性具有一定程度相关性,大于3cm的病灶多为恶性,而更微小的结节,良性的可能性居多。
1cm以下的结节不好判断,一定要找专科医生看。目前国内外对肺部结节都有指南,每过几年会根据实际情况更新,这是普通人所不能及时了解到的。根据日本体检指南,总而言之:圆形均匀钙化的结节,边缘清楚、光滑、密度均匀、长期观察无变化或缩小的结节是良性,0.5cm以下结节主要是密切观察。
“肺部结节发现也别太害怕”,绝大部分的肺部结节是良性的,什么样的结节须受到重视呢?

什么样的肺结节易生癌?

依据结节密度将肺结节分为三类:
是指肺内模糊的结节影,呈云雾状淡薄影,密度较均匀,看上去像磨砂玻璃一样,但其内血管及支气管的轮廓可以看见。
实性结节是指其内全部是软组织密度的结节,其内血管及支气管影像被掩盖。
部分实性结节是指其内既包含磨玻璃密度又包含实性软组织密度的结节,密度不均匀。
做什么检查能发现早期肺癌?
由于很多人对肺癌不了解,认为能够通过抽血化验检查出肺癌,但血液检查只是对肿瘤标记物的检测,并不能直接检测出肺癌。而另外的比如基因检测、X线胸片等都无法筛查出早期肺癌。经过证实,早期肺癌筛查的最佳项目是低剂量CT检查。这项检查在国内各三甲医院均有开设,日本体检中也算是最基本的项目之一。

那些暂时不用切,但需定期复查的肺结节需注意:
随访方式:定期复查肺部CT
随访时间:直径<5mm,一年复查一次胸部CT;直径≥5 mm,第一次CT后3、6、12个月复查CT,以后每年复查一次。
随访期限:2-3年
肺癌早期的患者可以进行手术治疗,治愈率极高。经过手术治疗,一期病人的五年生存率在60%到80%左右,二期病人在20%到25%左右。肺部结节在2厘米以内时,大部分人没有症状的;如果持续咳嗽、痰中带血,或者感觉胸痛时,病程应该到了中晚期。
因此,即使平常有做常规体检或是其他检查项目,但并未查出肺癌的人群并不能掉以轻心,还应尽快安排低剂量CT检查以确认有没有肺癌风险,特别是肺癌的高危人群,比如有肺癌家族史、有长期吸烟习惯等。
另外,相关数据显示超过95%的肺癌患者年纪都在45岁以上,因此,建议除了是否有吸烟习惯等其他影响因素以外,凡是45岁以上的人群不论男女都应每年进行一次低剂量CT的早期排查。
2016年1月7日,霓虹直通车是日本外务省和经济产业省登录的国际医疗身元担保资质(登录管理番号B-032)第32家专业跨境医疗服务机构,可以预约日本各领域排名前五的名医名院,由在日华人医学博士量身定制日本体检、就医一站式跨境医疗服务。